Contattaci
Fissa un appuntamento per un controllo
Orari dello studio
- 10:00-20:00
- 10:00-20:00
- 10:00-20:00
- 10:00-20:00
- 10:00-20:00
- Chiuso
- Chiuso

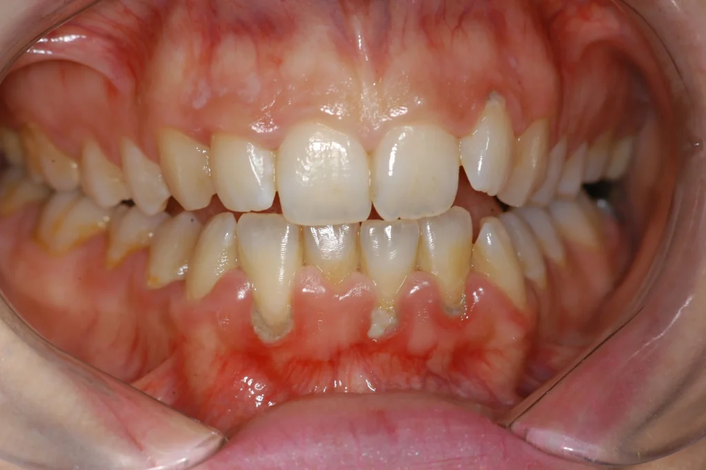
La sua causa è costituita dalla placca batterica, non quella localizzata sui denti (che provoca la carie), ma quella che si forma sotto la gengiva, tra quest’ultima ed il colletto dei denti: quando poi questa placca gengivale si calcifica, diviene tartaro, che risulta ancora più dannoso.
Il binomio placca gengivale + tartaro provoca l’infiammazione della gengiva, che si distacca dal dente e diventa di colore rosso vivo, sanguinante e gonfia. Qualora non si rimuovano le cause in questo stadio, si può passare nel tempo all’interessamento dell’osso di sostegno, che incomincerà a staccarsi anch’esso dalla radice dentaria. Il dente, allora, comincerà a muoversi, prima leggermente, poi pian piano in maniera più rilevante, fino ad essere inutilizzabile e richiedere l’estrazione.
Come detto, i sintomi iniziali possono essere un sanguinamento gengivale protratto nel tempo e resistente all’utilizzo dei collutori, gengiva che si ritira nello spazio interdentale, alitosi, mobilità dei denti, dolori alla masticazione.
Il processo con cui l’infezione si diffonde dalla gengiva più superficiale fino all’osso è in genere molto lento. Può succedere, quindi, che situazioni di sporadiche e periodiche gengiviti (dovute, ripetiamo, all’azione nociva di placca gengivale e tartaro), se non trattate e prevenute, portano a improvvisi ed inaspettati quadri di lesioni ossee e gengivali profonde ed irreversibili.
Ne deriva, quindi, che la prevenzione della “piorrea” si basa sull’eliminazione di quei fattori che provocano l’infiammazione gengivale: le sedute di igiene, rimuovendo completamente la placca gengivale ed il tartaro, tornano a far “respirare” le gengive; è infatti esperienza comune di chiunque abbia sofferto di gengivite, che dopo 3-4 gg. dalla pulizia dei denti, le gengive spontaneamente tornano all’aspetto, al colorito e alla posizione naturale. Quindi, giova ripeterlo, le sedute professionali di igiene, accompagnate da una adeguata e costante igiene dentaria personale, evitano che la gengivite possa diventare quel processo irreversibile, un tempo identificato col termine “piorrea”, che costituisce la principale causa (ancor più della carie) della perdita dei denti in età adulta.